他院で断られた方も、諦めないでください
「骨が足りない」と言われた
→当院では、骨造成やサイナスリフトなどの高度な技術で対応可能です。
入れ歯が合わず、食事が楽しめない
自身の歯が少ない場合でもインプラントを固定源にして入れ歯を維持をする事が可能になります。咬合力がアップするので、格段に噛めるようになります。
信頼できる専門医に任せたい
日本顎顔面インプラント学会 指導医・専門医と連携し、安心の治療を提供しています。
受け入れ率 97.5%※
※(糖尿病、膠原病、骨粗相症、心疾患などの全身疾患、上顎洞を挙上する場合に上顎洞炎がある方を除く)
診断した上でお断りするケースもあります。





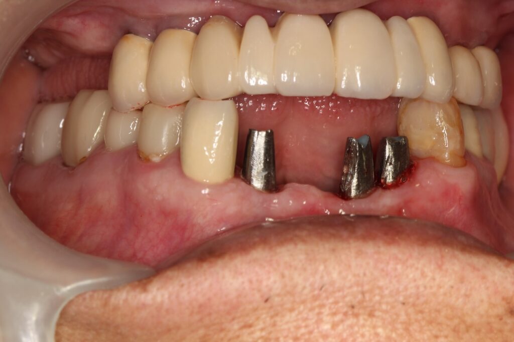
症例1:60代女性 他院で「骨が足りない」と診断されたケース
他院でインプラントを断られたが、当院で骨造成を行い、無事にインプラントを埋入。現在はしっかりと噛めるようになり、食事を楽しんでおられます。
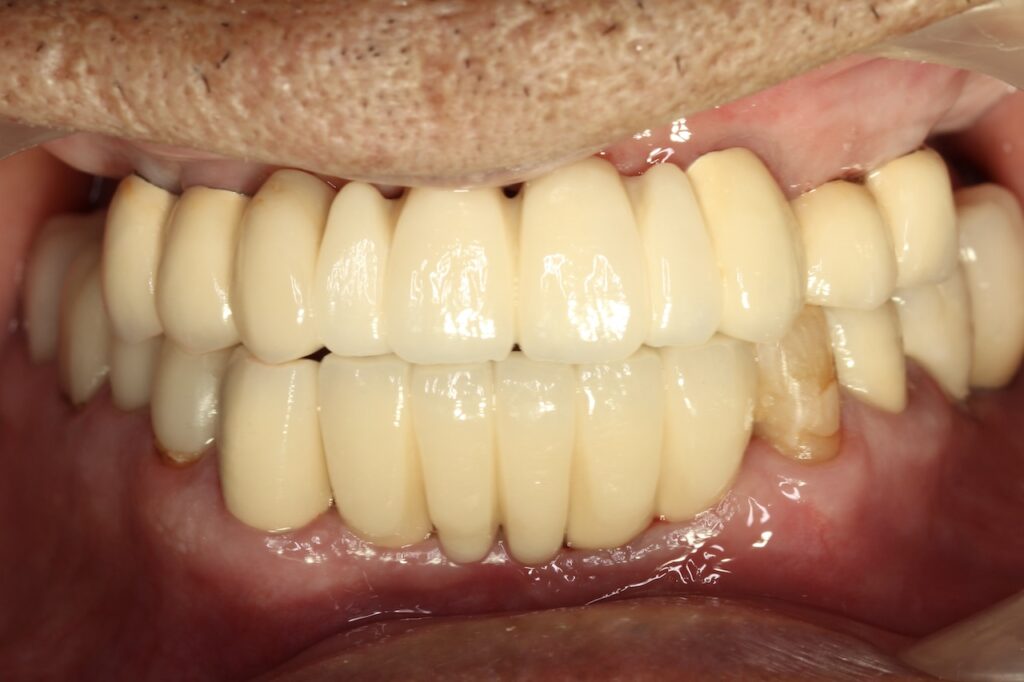
症例2:60代女性 入れ歯が合わず悩まれていたケース
インプラントを固定源にして維持をする事によって、力を入れやすくなり、咬合力がアップするので、通常の入れ歯よりも格段に噛めるようになります。


入れ歯の不具合で食事や会話に支障を感じていたが、インプラント治療により自然な噛み心地を取り戻し、自信を持って生活されています。
※個人の感想であり、効果を保証するものではありません。

ご自身(家族を含む)が病気になって病院にかかった場合に支払う「医療費用」や治療の際に必要な薬代や通院の際に支払った交通費などは、確定申告の申請の際に「医療費控除」として一定の金額を所得から控除することが出来ます。
当院は厚生省から認められた細胞培養加工施設です。
骨再生医療とはインプラントは顎の骨にインプラントを埋入させて、骨とインプラント体を結合させて、人工歯根を作る治療です。その為、骨の量や、骨の厚みなどが十分でなければインプラント治療は行えません。
そのような患者様でもインプラント治療ができるようにする為に、当院では、骨再生療法を取り入れています。
GBR(骨誘導再生法)
GBR(骨誘導再生法)とは、歯を支えるあごの骨が足りないときに、骨を再生させるための治療法です。

サイナスリフト
サイナスリフトは、上顎洞に骨移植を行うことです。
上顎の歯肉の側面を切開し、上顎洞粘膜と歯槽骨を慎重に剥がし、その部分に移植骨を入れていきます。

ソケットリフト
ソケットリフトとはサイナスリフトとは異なり、側面を切開するのではなく、歯槽骨にドリルで穴を空けます。この穴に先が鋭利ではない棒を差し込み上顎洞粘膜を持ち上げます。そこに移植骨を入れます。

お口の状態やご希望を伺い、大まかな治療の流れについてご説明します。
インプラント治療を受ける前に必要な診査、診断を行い口腔内の状態を詳しく調べ、インプラント治療に適したかどうかを判断します。
インプラント手術前診査は、インプラント治療の成功率を高めるために非常に重要な役割を果たします。
診査により、口腔内の状態を正確に把握し、インプラントの埋入部位を診断してインプラント手術のリスクを最小限に抑えることができます。

骨の深さや方向など、正確な位置にインプラント体を埋入するガイドを作製する為の資料としてCT撮影と口腔内の模型を取ります。

検査結果をもとに、最適な治療計画とお見積もりをご提示します。
クリニックで撮影したCT画像を元に歯科医師と歯科技工士がどの位置にインプラントを埋入するか話し合い、歯科技工士がサージカルガイドを作製します。

インプラントの埋入手術を行います。作成したガイドに従って、ガイド付きでインプラント手術を実行します。
(必要に応じて骨造成などの処置も実施します。)

インプラントと骨の結合が確認できた段階から始めます。
アバットメント製作〜上部構造(セラミック/ジルコニア)が装着するまで約1ヶ月ほどかかります。


- 手術は痛いですか?
- 麻酔を使用し、できるだけ痛みを抑えた治療を行います。術後の痛みも最小限に抑えるよう努めています。
- 治療期間はどのくらいですか?
- 一般的には3〜6ヶ月程度ですが、骨の状態や治癒のスピードによって前後することがあります。詳しくはカウンセリング時にご説明いたします。
- 遠方からの通院は可能ですか?
- はい、多くの患者様が千葉県外から来院されています。通院回数を最小限に抑えた治療計画のご提案も可能です。
- 治療費の分割払いは可能ですか?
- はい、各種クレジットカードでの分割払いに対応しております。
- 時前のカウンセリングは無料ですか?
- 相談だけなら無料で行わせて頂きます。ただ、レントゲン等を撮らないと詳しくはわからない事も多く御座います。詳しくカウンセリングをご希望でしたらCTとあわせて5500円(税込)を頂戴致します。

院長 中村 一彦
歯科医師 歯学博士
骨が少なくて断られて人も、長年培ってきた口腔外科の知識と再生医療の技術を生かし、骨造成を行い、インプラントを安全に確実にインプラントを埋入する事により本来の咬合を取り戻すように努めています。
また、これまでの経験を生かし、補綴にも力を入れています。
院長略歴
| 慶應義塾大学経済学部 在籍 | |
| 1982年 | 東京医科歯科大学 歯学部 卒業 |
| 1987年 | 東京医科歯科大学大学院 歯学研究科 口腔外科専攻 卒業 歯学博士取得 |
| 東京医科歯科大学付属病院 口腔外科勤務 | |
| 1993年 | かずなか歯科クリニック 開業 |
業績





所属学会
- 日本口腔外科学会会員
- 日本口腔インプラント学会
- 国際口腔インプラント学会
- レーザー歯学会

北川善政
歯科医師 歯学博士
北川善政略歴
| 1983年 | 東京医科歯科大学 歯学部 卒業 |
| 1988年 | 東京医科歯科大学 歯学部 第一口腔外科博士 大学院修了 |
| 1990年 | 浜松医科大学 歯科口腔外科 助手 |
| 1993年 | 福井医科大学 歯科口腔外科 講師 |
| 2004年 | 北海道大学大学院 歯学研究科 教授 口腔診断内科学 教授 |
| 2016年〜2022年 | 北海道大学病院 副病院長(歯科担当) |
| 2024年3月 | 退職 |
| 2024年4月 | かずなか歯科クリニック勤務 |
業績


所属学会
- 日本口腔外科学会 指導医/専門医
- 日本口腔科学会 指導医/専門医
- 日本顎顔面インプラント学会 指導医/専門医
- 日本顎関節学会 元指導医/専門医
クリニック情報
住所:〒263-0002 千葉県千葉市稲毛区山王町346-2
■最寄駅:JR横須賀・総武快速線(総武線快速)、中央・総武緩行線(総武線各駅停車)稲毛駅 / JR総武本線(千葉~銚子)四街道駅
■最寄のバス停留所:千葉内陸バス 六方新田(徒歩3分) / 京成バス 山王町(徒歩5分)
■駐車場:6台(無料)